Policy
口腔外科専門医だからできる
信頼・安心・誠実な歯科治療
自分だったら、どんな歯科治療を受けたいか。
自分の大切な人に、どんな歯科治療を受けてほしいか。
常に、患者さんの将来を真剣に考え、
歯の1本を可能な限り残すための歯科治療を提供いたします。
保険治療でも丁寧に。
患者さんの目線に立った、丁寧・誠実・相談しやすい歯科医院を目指します。
患者さんの将来を真剣に考えた
丁寧で質の高い歯科治療
大切な人に、紹介したくなる
歯科医院を目指します
415
2024
Mon.
NEW OPEN!
Policy
自分だったら、どんな歯科治療を受けたいか。
自分の大切な人に、どんな歯科治療を受けてほしいか。
常に、患者さんの将来を真剣に考え、
歯の1本を可能な限り残すための歯科治療を提供いたします。
保険治療でも丁寧に。
患者さんの目線に立った、丁寧・誠実・相談しやすい歯科医院を目指します。
当医院のこだわり

大学では口腔外科を専門とし、1,000症例以上の手術を経験してまいりました。
そして、日本口腔外科学会認定医・専門医、日本有病者歯科医療学会認定医、厚生労働省公認歯科医師臨床研修指導医、日本救急医学会ICLS認定といったさまざまな資格も取得しております。
これまで培った治療技術と知識を生かし、患者さんにとって最善な治療をご提供いたします。
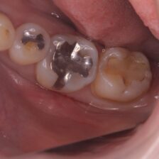
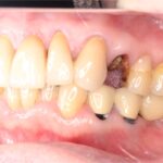
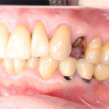
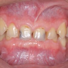
歯科治療において、歯を削ったり抜いたりすることは避けられない場合もあります。
しかし、既存の歯をできるだけ傷つけずに保存することが重要です。なぜなら、削られたり抜かれたりした歯は、元の状態に戻すことができないためです。
当院では、「今ある歯を最大限に保存する」治療を積極的に行っています。


当院では、医療先進国のヨーロッパ規格EN13060、クラスB条件をクリアした滅菌器「Lisa」を導入。
治療に使う器具は全て、患者さんごとに滅菌・交換しております。
また、当院のユニットに流れる水もすべて、歯科ユニットウォーターライン除菌装置「ポセイドン」により殺菌。
空気も、医療用の空気洗浄機「メディカルライトエアー」を導入することにより、常に衛生的な治療環境を保っています。
歯科医院にはなるべく行きたくない。そんな不安な気持ちで来院される方がほとんどだと思います。
そんな患者さまの思いをスタッフ一同、理解しております。
その気持ちに応えられるように親切、丁寧に診察させていただきます。
そして、「安心で、痛みの少ない」治療を目指し、日々精進しております。

充実の医療設備
足立区の数ある歯科医院の中から綾瀬亀有ロハス歯科&矯正歯科のホームページをご覧いただき、誠にありがとうございます。
当院の理念は、縁のなる人を幸せにすること。
患者さんを幸せにするのはもちろんのこと、スタッフとその家族が幸せになって欲しいという想いがあります。
お口は健康の入り口、健康は食から、食は歯から。
患者様の将来を真剣に考えた最善の治療を提供します。