前歯の怪我:インプラント・ジルコニア症例
治療の概要
年齢・性別 |
25歳男性 |
主訴 |
友人と喧嘩になり、上顎前歯部(左上1)を破折。 |
通院期間 |
6ヶ月 |
治療費 |
ジルコニア:132,000円(税込) インプラント: |
治療のリスク・注意点 |
口腔清掃状態が悪いとインプラント周囲に炎症を認める場合があります。定期的なメンテナンスが必要です。 |
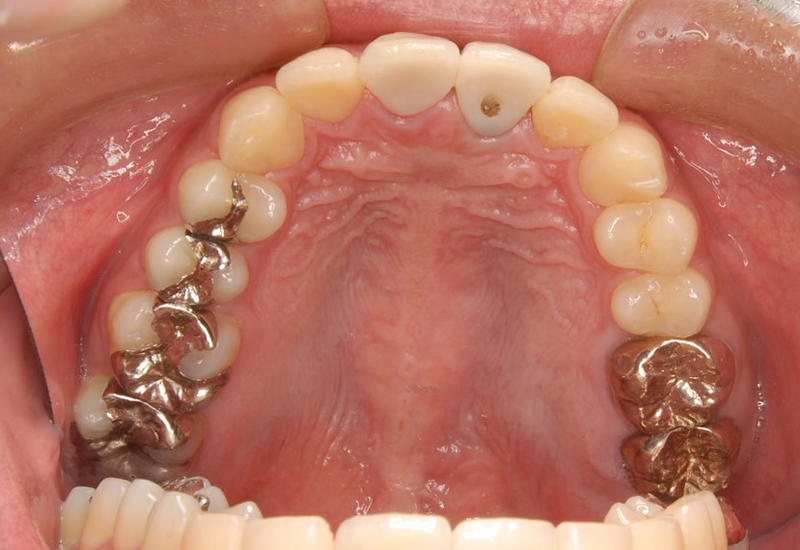
症例写真
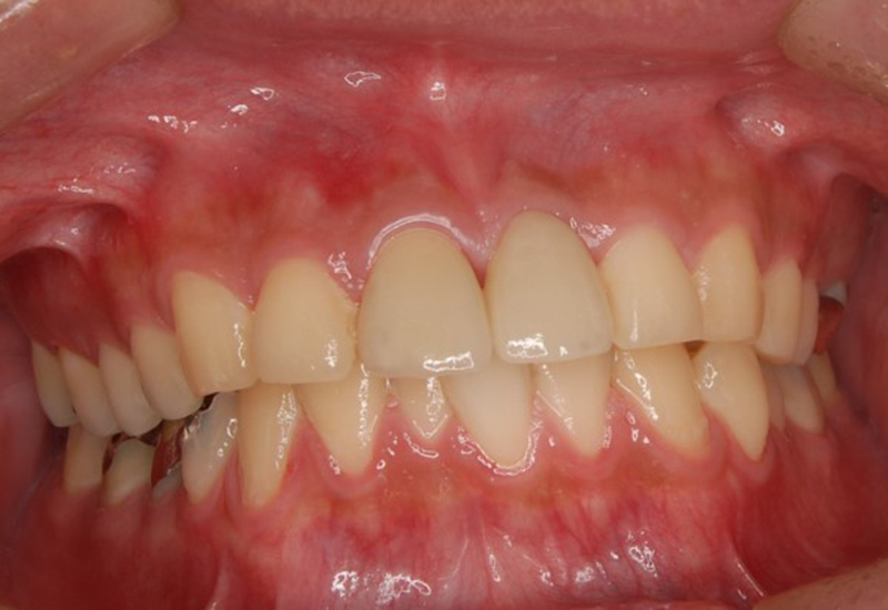
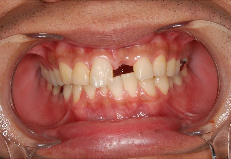
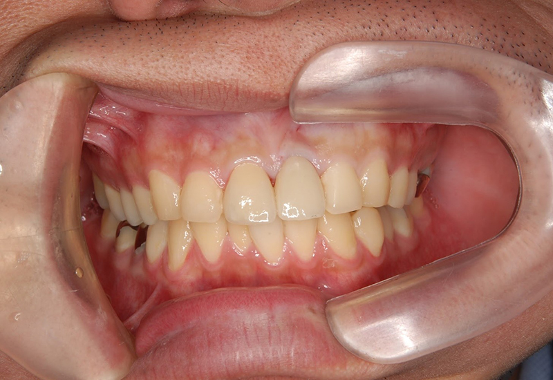
治療前後の写真
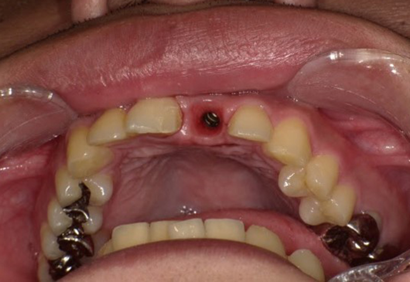
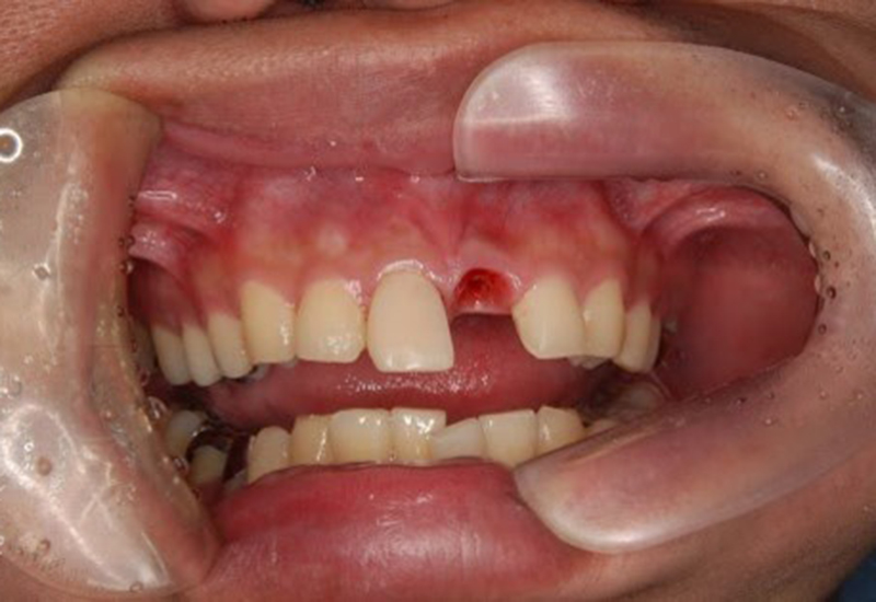
治療前 |
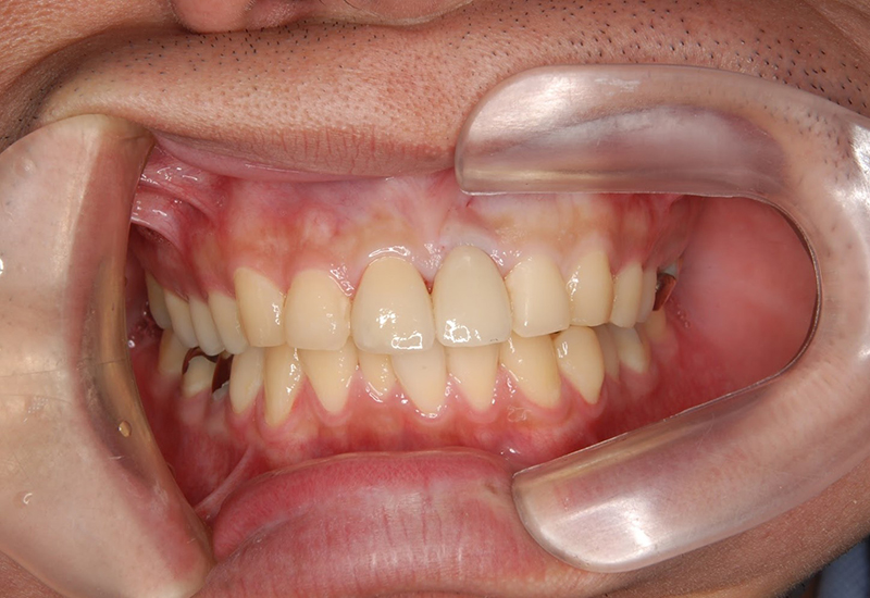
治療後 |
治療経過の写真
手術の様子
![]() |
![]() |
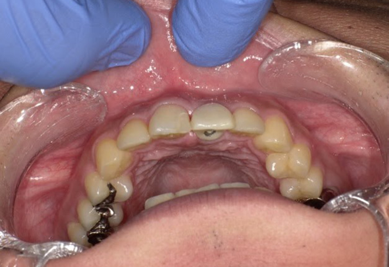
術後3ヶ月に仮歯を入れています。
![]() |
![]() |
右上1 ジルコニアセット
左上1インプラント補綴セット(ジルコニア)
![]() |
![]() |
![]() |
![]() |
綾瀬亀有ロハス歯科&矯正歯科:https://lohas-dental.com/
〒120-0003 東京都足立区東和1-27-10 村越マンション一番館1階
電話:03-5856-3888
交通アクセス
電車でお越しの方:
東京メトロ千代田線・JR常磐線 綾瀬駅よりバス7分
「東和一丁目東」バス停より徒歩2分
お車でお越しの方:
駐車場5台分ご用意しております。
治療前
治療後







