前歯の着色が気になる:ダイレクトボンディング症例
2024/02/12
治療の概要
年齢・性別 |
52歳男性 |
主訴 |
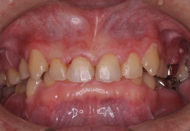
前歯の着色を主訴に来院された患者さまです。 |
治療回数 |
1回 |
治療費 |
33,000円(税込)×2 |
治療のリスク・注意点 |
過度な力によって、薄い部分が欠ける可能性があります |
症例写真
治療前後の写真
治療前 |
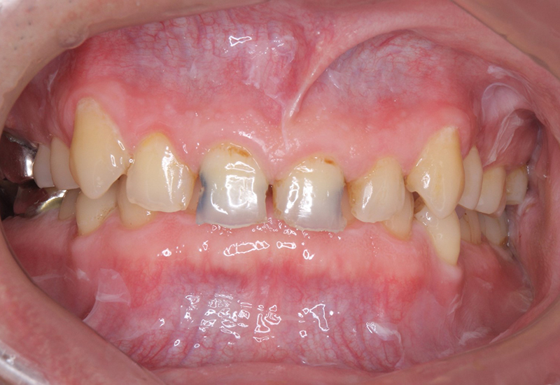
治療後 |
2024/02/12
年齢・性別 |
52歳男性 |
主訴 |
前歯の着色を主訴に来院された患者さまです。 |
治療回数 |
1回 |
治療費 |
33,000円(税込)×2 |
治療のリスク・注意点 |
過度な力によって、薄い部分が欠ける可能性があります |
治療前 |
治療後 |