左上の小臼歯部 インプラント治療例
2024/02/07
治療の概要
年齢・性別 |
60歳男性 |
主訴 |
左上の小臼歯部の脱離を主訴に来院された患者さまです。 |
治療期間 |
4ヶ月 |
治療のリスク・注意点 |
インプラントは、虫歯にはなりませんが、歯周炎のリスクはあるので、定期的なメンテナンスを必要とします。 |
当院では、抜歯即時インプラント埋入を推奨しております。
メリット
①抜歯とインプラント手術を2回に分けない為、患者さまの負担が少ない
②早期に被せ物までの治療が終わる(3ヶ月〜6ヶ月)
デメリット
歯を抜いた穴とインプラントの間に補填剤を入れる必要がある。
症例写真
治療前後の写真
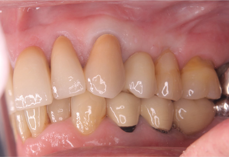
治療前 |
治療後 |
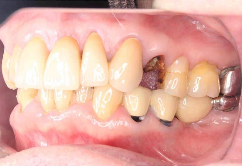
治療前 |
治療後 |
治療中の写真
サージカルガイド
左上5にインプラント埋入の為のドリル用ホールあり
![]() |
![]() |
抜歯の画像です
![]() |
![]() |
![]() |
![]() |
治療前
治療後
治療前
治療後





