銀歯を変えて欲しい:ダイレクトボンディング症例

   

治療の概要

年齢・性別

38歳女性

主訴

銀歯を変えて欲しいという主訴にて来院された患者さまです。
歯をなるべく削らずに最善の治療を希望されましたので、ダイレクトボンディングによる治療を選択されました。

治療回数

2回

治療費

55,000円(税込)

治療のリスク・注意点

可及的な防湿状態での操作を必要とする為,ゴム性のラバーダム(緑色)を使用します。

 

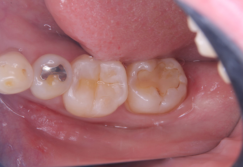
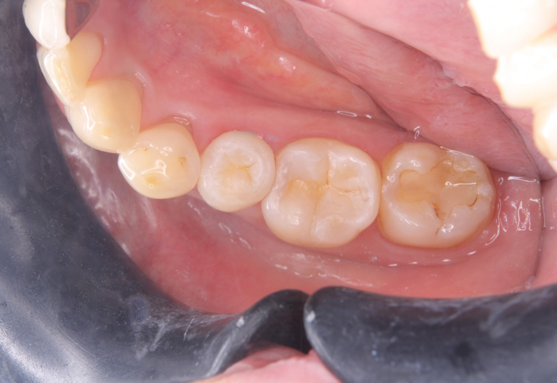
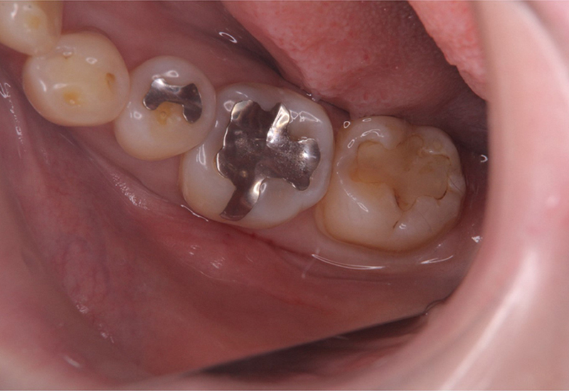
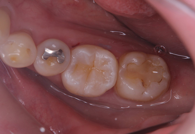
症例写真

大臼歯の治療

綾瀬亀有ロハス歯科&矯正歯科の銀歯を白い歯に治療前 綾瀬亀有ロハス歯科&矯正歯科の銀歯を白い歯に治療中
綾瀬亀有ロハス歯科&矯正歯科の銀歯を白い歯に治療中 綾瀬亀有ロハス歯科&矯正歯科の銀歯を白い歯に治療後

 

小臼歯の治療

綾瀬亀有ロハス歯科&矯正歯科の銀歯を白い歯に治療前 綾瀬亀有ロハス歯科&矯正歯科の銀歯を白い歯に治療中 綾瀬亀有ロハス歯科&矯正歯科の銀歯を白い歯に治療後

治療戦後の比較

綾瀬亀有ロハス歯科&矯正歯科の銀歯を白い歯に治療前 綾瀬亀有ロハス歯科&矯正歯科の銀歯を白い歯に治療後

 


PAGE TOP